Longscans jonge Belgen op ic laten littekens zien door corona: 'Levensbedreigend'

Virologen waarschuwden al voor een misverstand rond corona: niet alleen ouderen en mensen met een zwakke gezondheid kunnen ernstig ziek worden, maar ook jonge, gezonde mensen. Een Belgische spoedarts heeft op de Vlaamse tv uitgelegd wat hij ziet: "Jonge mensen komen bij ons binnenwandelen met een droge kuch-hoest. Ze zijn wat kortademig. Ze kunnen probleempatiënten in wording zijn."
De Belgische spoedarts Ignace Demeyer deed zijn verhaal in Terzake, het dagelijkse Vlaamse nieuwsprogramma van de VRT. "In tegenstelling tot wat iedereen altijd dacht dat het om oudere mensen zou gaan of mensen met onderliggende problemen zoals hartfalen of nierfalen, zien we nu dat mensen met een blanco medische voorgeschiedenis toch wel zwaar ziek zijn", zegt hij. Het gaat om mensen tussen de 30 en 50 jaar die bij hem binnenkomen.
"De mensen die we binnenkrijgen, komen binnen met dezelfde klachten", vertelt Demeyer. "Ze zijn een week ziek geweest, hebben griep gehad en zijn thuis gebleven. De griepaanval is voorbij denken ze, twee dagen voelden ze zich prima."
Demeyer: "Later komen ze zich melden bij ons met klachten van een droge kuch-hoest. Wat kortademig. Als de zuurstofsaturatie wordt gemeten (het gehalte van zuurstof in het bloed, red.) en dan zien we dat dat voor hun leeftijd zeer laag is. Dit zijn alarmsignalen die we uit het buitenland zien, uit Italië en China, dit zijn probleempatiënten in wording. Maar de mensen beseffen dan nog niet dat ze aangetast zijn door het virus."
Gisteren zei voorzitter Diederik Gommers van de Nederlandse Vereniging voor Intensive Care (NVIC) ook al tegen RTL Nieuws dat de meerderheid van de mensen die op een Nederlandse ic liggen, een leeftijd van onder de 50 heeft.
Afweersysteem
Gommers zegt dat bij de ernstig zieke patiënten de ontsteking dermate uit de hand is gelopen, dat het het lichaam te veel is uitgeput om zelfstandig te kunnen ademen. "Hoe dat komt weten we niet precies. Het heeft iets te maken met hun afweersysteem dat te ver doorschiet."
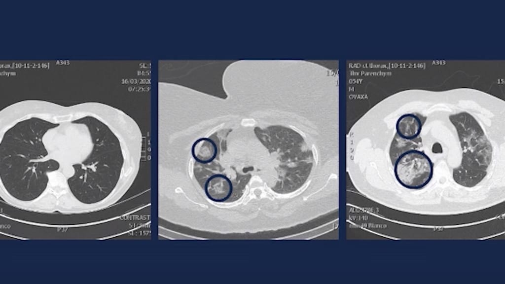
In de uitzending van Terzake laat de Vlaamse spoedarts ct-scans zien van longen, die eergisteren zijn gemaakt.

Op de linkerfoto zijn de longen te zien van een gezond iemand. "Op de middelste foto, in de twee blauwe cirkels, zijn longblaasjes die voor 20 tot 25 procent gevuld is met ontstekingsvocht."
Op de rechterfoto zie je longblaasjes die voor 80 tot 90 procent gevuld zijn met ontstekingsvocht, zegt Demeyer. "Dat is een massa die een litteken aan het vormen is."
Fragment uit Terzake van gisteren
Of zij nog kunnen genezen? "Uiteraard kunnen zij genezen, maar ze zitten in een levensbedreigende situatie. Dit zijn longen van sportieve, jonge mensen. Dit zijn geen rokers, geen mensen met suikerziekte, geen mensen met hartfalen."
NVIC-voorzitter Diederik Gommers zegt deze scans van longen ook te herkennen. "Ja, die foto's zijn bij ons hetzelfde en dat past bij de diagnose ARDS, een ernstige longaandoening die ontstaan bij een dubbelzijdige longontsteking.
80 procent heeft nauwelijks klachten
Sjaak de Gouw, landelijke woordvoerder infectieziektebestrijding van de GGD GHOR Nederland, zei eerder tegen RTL Nieuws dat de meeste jongeren die besmet raken, nauwelijks klachten hebben. "De jeugdige cellen zijn beter in staat om dit virus te verwerken. Ze hebben vaak geen of soms milde klachten. De meeste jongeren zullen dus niet eens merken dat ze ziek zijn als ze besmet zijn met het virus."
Van alle mensen die besmet raken in Nederland, krijgt statistisch gezien meer dan 80 procent milde klachten en is binnen drie dagen weer klachtenvrij. "Onder jongeren ligt dat percentage nog hoger", zegt De Gouw. Daarbij geldt dat zo'n 95 procent milde klachten krijgt en binnen drie dagen weer beter is.
Maar dan blijft er dus wel vijf procent over. "Er kunnen individuele situaties zijn waarbij iemand ernstigere klachten krijgt, maar dat zijn er niet veel."
Op de intensive care worden deze patiënten via een buisje in de luchtpijp mechanisch beademd. "Daar krijgen zij niets van mee. Net als tijdens een operatie zijn de patiënten in een diepe slaap gebracht."
Aan de beademing, liggend op de buik en soms met extra ondersteuning voor de bloeddruk, krijgt het lichaam de kans om te herstellen. "Het is zaak om de beademing langzaam af te bouwen, voordat de patiënt wakker wordt en weer zelfstandig kan ademen."
Vier weken
De ervaring uit hevig getroffen landen als China en Italië leert dat de beademingsperiode zeker vier weken duurt. "Het verschilt per patiënt. De revalidatie daarna is nog een heel lang traject van een halfjaar tot een jaar. En verwacht niet dat je daarna direct aan het werk kan."
Volgens viroloog Marion Koopmans van het Erasmus MC bevestigde gisteren ook dat bij jongeren ernstige infecties kunnen ontstaan. "Maar er zijn heel veel mensen met amper klachten."


