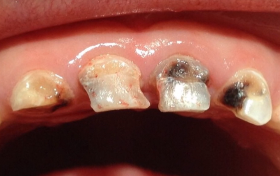
Mijden tandarts kan desastreus zijn voor kind: 'Vaak zwarte tanden'
Meer dan een half miljoen kinderen gaat nooit naar de tandarts. En dat terwijl de gevolgen van het mijden van de tandarts desastreus kunnen zijn. "We zien soms zwarte tanden bij kinderen."
De gevolgen lopen uiteen van gaatjes tot ontstoken zenuwen, zegt voorzitter Jan-Willem Vaartjes van de Associatie Nederlandse Tandartsen. "Maar zwarte tanden komen ook voor. Dat doet niet eens altijd pijn, maar kinderen worden er ook mee gepest."
Je hele leven last
Op het eerste gezicht lijken gaatjes bij kinderen nog geen ramp. Maar dat wordt het wel, zegt Vaartjes. "Een vulling gaat gemiddeld tien jaar mee. Aangezien mensen tegenwoordig makkelijk 80 kunnen worden, ben je er dus niet met een of twee vullingen. En na de tweede of derde vulling krijg je vaak een kroon en daarna wellicht een wortelkanaalbehandeling. Dat is niet alleen vervelend, maar ook heel duur."
Het argument 'het zijn toch nog maar melktanden' veegt Vaartjes ook meteen van tafel. "Kinderen krijgen op hun zesde vaak al de eerste grote kiezen. Die zijn juist het gevoeligst voor gaatjes als ze net doorbreken. Bovendien is aangetoond dat als je eenmaal gaatjes hebt, melkgebit of niet, de kans groter is dat je later meer gaatjes krijgt."
Onwetendheid
Vaartjes hoopt dus dat verzekeraars een brief willen sturen om ouders te bewegen met hun kind naar de tandarts te komen. Verzekeraar DSW stuurde zo'n brief. Na het versturen bleek dat 43 procent van de kinderen die zelden naar de tandarts gingen, toch de tandarts zijn gaan bezoeken. Veel ouders bleken niet te weten dat tandartszorg gratis is voor kinderen. Ook zijn ouders in sommige gevallen zelf bang voor de tandarts of zijn ze niet gewend om voor controle naar de tandarts te gaan.
Minister Bruins denkt dat zo'n brief niet kan vanwege de privacywet. Hij ziet meer in een betere informatievoorziening. "Misschien kunnen we de informatie eerder aanreiken aan ouders. Als ze bij het consultatiebureau komen, dat ze daar al de informatie krijgen."
Zo'n twintig procent van de kinderen gaat dus niet naar de tandarts. Niet zo vreemd als je bedenkt dat ook 1 op de 5 volwassenen niet naar de tandarts gaat. Kinderen komen er simpelweg niet mee in aanraking. En dat is kwalijk, zegt opvoeddeskundige Marina van der Wal.
Gebruik een smoes
"Kinderen volgen het gedrag van hun ouders. Dus als de ouders niet gaan, bijvoorbeeld omdat ze dat niet kunnen betalen of bang zijn, dan gaan de kinderen ook niet."
Dat moet je doorbreken zegt Van der Wal, desnoods met een smoes. "Stel dat je de tandarts niet kan betalen, of je bent bang. Ga dan bijvoorbeeld met je kind naar een andere tandarts dan je eigen. Je kan dan heel makkelijk zeggen dat je voor jezelf al een afspraak hebt gemaakt bij je eigen tandarts."
Niet alleen maar leuk
Van der Wal pleit voor de terugkeer van de schooltandarts, maar vindt dat ouders zelf ook meer kunnen doen. "Ik vond het ook niet leuk om met mijn kinderen naar de tandarts te gaan, maar je kan niet alleen maar leuke dingen doen met je kind. Opvoeden is ook verantwoordelijkheid nemen voor de toekomst van je kind. Dus sleep je kind die stoel in!"

